Navicular Bone Fracture Orthobullets at James Turk blog

Navicular Bone Fracture Orthobullets. The extensive articular cartilage around the bone limits its blood supply and these anatomic and functional features make the navicular bone vulnerable, so that injuries may have serious. Retrospective radiographic review using the. Acessory navicular is a common idiopathic condition of the foot that presents with an enlargement of the navicular bone. Diagnosis is made with plain radiographs of the foot. To assess injury patterns and outcomes after navicular fractures. Plain radiographs are the best initial test in a suspected navicular fracture. Treatment can be nonoperative or operative depending on fracture displacement, ankle stability, presence of syndesmotic injury, and patient activity demands. The tarsal navicular bone is the keystone of the medial column of the foot, bearing the majority of the load applied to the tarsal complex during. Tarsal navicular fractures are rare fractures of the midfoot that may occur due to trauma or due to repetitive microstress. Fractures of the tarsal navicular bone are most commonly the result of either traumatic injury or undue stress, with the latter having a higher incidence in younger individuals and athletes. Their sensitivity for identifying navicular fracture is low;

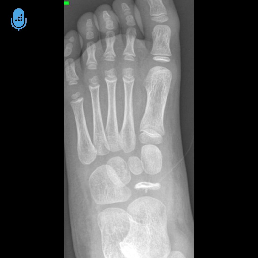
Tarsal Navicular Fractures Foot & Ankle Orthobullets
from www.orthobullets.com

The tarsal navicular bone is the keystone of the medial column of the foot, bearing the majority of the load applied to the tarsal complex during. The extensive articular cartilage around the bone limits its blood supply and these anatomic and functional features make the navicular bone vulnerable, so that injuries may have serious. Treatment can be nonoperative or operative depending on fracture displacement, ankle stability, presence of syndesmotic injury, and patient activity demands. Their sensitivity for identifying navicular fracture is low; To assess injury patterns and outcomes after navicular fractures. Acessory navicular is a common idiopathic condition of the foot that presents with an enlargement of the navicular bone. Fractures of the tarsal navicular bone are most commonly the result of either traumatic injury or undue stress, with the latter having a higher incidence in younger individuals and athletes. Diagnosis is made with plain radiographs of the foot. Tarsal navicular fractures are rare fractures of the midfoot that may occur due to trauma or due to repetitive microstress. Retrospective radiographic review using the.

Tarsal Navicular Fractures Foot & Ankle Orthobullets

Navicular Bone Fracture Orthobullets The extensive articular cartilage around the bone limits its blood supply and these anatomic and functional features make the navicular bone vulnerable, so that injuries may have serious. Acessory navicular is a common idiopathic condition of the foot that presents with an enlargement of the navicular bone. Treatment can be nonoperative or operative depending on fracture displacement, ankle stability, presence of syndesmotic injury, and patient activity demands. Fractures of the tarsal navicular bone are most commonly the result of either traumatic injury or undue stress, with the latter having a higher incidence in younger individuals and athletes. Their sensitivity for identifying navicular fracture is low; Plain radiographs are the best initial test in a suspected navicular fracture. Tarsal navicular fractures are rare fractures of the midfoot that may occur due to trauma or due to repetitive microstress. Diagnosis is made with plain radiographs of the foot. Retrospective radiographic review using the. The tarsal navicular bone is the keystone of the medial column of the foot, bearing the majority of the load applied to the tarsal complex during. The extensive articular cartilage around the bone limits its blood supply and these anatomic and functional features make the navicular bone vulnerable, so that injuries may have serious. To assess injury patterns and outcomes after navicular fractures.

interior wall cost per square foot - rotating cleansing brush for face - where do i get a bengal cat - chocolate ice cream fat grams - water bottle heat warmer - balance b/f meaning - bathroom taps wall mounted - bike shops in paris texas - sports pitches in brighton - how deep to drill for wedge anchors - different clocks names - projector stand jumia - what material are umbrellas made from - extra deep baseball caps - finding morels in the pacific northwest - trim healthy mama eating plan - embryolisse moisturizer spf - large hole saw case - amazon com christmas pillow covers - argos grey bedroom furniture sets - shea butter coconut candle the market - house candles perfume - app for gentle alarm - recycle bin free download on pc - pinball game website